Mir Orthodontics

치아교정,


단순한 배열정리가 아닙니다.

순천미르치과의원은 부정교합을 정확히 진단하여
심미성과 기능을 동시에 개선하는 맞춤형 교정 치료를 제공합니다.

교합이 잘 맞으면 건강이 좋아집니다.


건축 설계와 같아서, 설계에 따라 구조가 달라지듯

치과의사도 올바른 치료 계획을 세워야 합니다.

치아 교정은 바로 이 '교합'을 바로잡는 과정입니다.


단순히 삐뚤어진 치아를 가지런히 하거나 튀어나온 입을 넣는 것이 아니라,

위아래 턱뼈의 관계를 정상화하고 바르게 씹고 발음할 수 있도록 도와줍니다.


그 결과, 기능을 회복하고 아름다운 얼굴 모양을 완성할 수 있습니다.
결국, 교정 치료란 치아 기능을 회복해 균형 잡힌 아름다움을 만드는 일입니다.

Orthodontics

치아 교정 치료에서
가장 중요한 두 가지!

순천미르치과의원은 누구에게나 교정 치료를 권하지 않습니다.


치료가 필요하신 분, 콤플렉스 개선을 원하시는 분 등 치료 진행이 필요하신 분들께만
정밀 진단과 상담을 통해 신중히 권해드립니다.
첫째,

교정의 정의, 필요성

치아교정은 단순히 틀어진 치아를 가지런히 배열하는 데
그치지 않고, 여러 가지 골격적 부조화를 바로 잡아 정상적인
구강 기능을 회복하도록 돕는 치료입니다.
둘째,

'왜' 예측이 중요할까요?

교정 치료는 장기간의 과정으로,
치료 중 치아와 골격이 조금씩 변하게 됩니다.


이 과정을 예측하지 않으면 치료의 완성도가 떨어질 수 있습니다.


따라서 정확한 진단을 통해 여러 요인을 고려한 예측 가능한
치료 계획을 세우는 것이 매우 중요합니다.
Mir. Different point

고른 치열 그 너머,
자신감 있는 미소의 설계

순천미르치과의원 교정을 선택해야만 하는 이유
orth_point_img
01

친절하고 전문적인 설명

순천미르치과의원은 ‘설명 중심 진료’를 지향합니다.


순천미르치과의원은 치료의 시작을 ‘설명’에서부터 함께합니다.
02

꼼꼼하고 체계적인 후 관리

교정 치료가 끝난 후에도 치아 배열과 잇몸 건강을 안정적으로 유지할 수 있도록
담당 치과위생사가 정기적인 점검과 체계적인 관리를 도와드립니다.
03

부담은 낮추고 만족은 높인 교정 치료

치료의 질은 높이고, 비용 부담은 줄였습니다.


믿을 수 있는 진단과 합리적인 교정 비용으로 효과적인 치료를 제공합니다.
04

분야별 전문의가 함께하는 통합 진료 시스템

교정과 원장 의료진과 보철, 충치 치료 등 진료 분야 간 함께하는
협진 시스템을 통해 한 병원에서 빠르고 정확한 치료가 가능합니다.
05

1:1 환자 맞춤 교정 상담 시스템

교정 치료 전, 모든 절차와 사용되는 재료, 치료 방식까지
환자분이 충분히 이해하실 수 있도록 1:1 상담을 통해 꼼꼼히 설명해 드립니다.

보건복지부 인증 치과교정전문의


은춘선원장 입니다.

교정 치료에 대한 두려움을 덜어드리고,

신뢰와 안심 속에서 아름다운 미소를 완성하실 수 있도록

체계적인 진단과 맞춤 치료 계획으로 함께하겠습니다.

Profile

  • 교정과 전문의
  • 진료7팀 플라타너스 원장
  • 전남대학교 치과대학 졸업
  • 전남대학교 치과대학 대학원
  • 전남대병원 교정과 수련
  • 대한치과 교정학회 정회원
교정 치료 적절한 시기는?

Orthodontic Treatment Timing

치아교정은 연령보다는 구강 상태에 따라 달라지는 치료이므로 정기적인 검진을 통해


효과적인 시기에 치료가 이루어져야 합니다.

  • Dental Implant Process image1

    성장기 아동의 교정 치료

    치아를 교환하는 시기의 치료를 말하며, 맹출 경로 이상 또는 주걱턱, 무턱증의 턱교정 치료가 이에 해당됩니다.
  • Dental Implant Process image2

    영구 치열의 교정 치료

    영구 치열이 완성된 후 모든 치아에 교정장치를 부착하여 치료하는 과정이며, 치아를 뽑는 것이 ​​​​​​​필요한 경우도 있습니다.
  • Dental Implant Process image3

    수술을 위한 교정 치료

    주걱턱, 무턱증, 안면 비대칭 등 턱뼈 자체의 부조화가 심한 경우 치열교정만으로는 치료가 어려운 경우도 있습니다. ​​​​​​​


    이때는 치열교정과 턱 수술을 병행해야 합니다.
Xerostomia Symptoms

교정 치료 효과

각 분과별 협진으로 치료하는 것이 효과적입니다.

  • 음식을 씹는 기능이 좋아집니다.

  • 칫솔질이 잘 되어 충치나 잇몸 질환이 예방되어 구강위생이 좋아집니다.

  • 턱뼈의 성장을 조절하여, 주걱턱 무턱 비대칭 턱을 줄일 수 있습니다.

  • 얼굴 모양에 좋지 않은 나쁜 습관을 교정해 줌으로써 입 모양이 좋아집니다.

  • 근육 기능이 정상화되면 이갈이, 이 악물기가 줄고 치아 마모도 감소합니다.

환자 중심의 폭넓은 교정장치 선택

다양한 종류의 교정장치를 사용하여


환자분들의 상황과 여건에 맞는
선택의 폭을 넓혀드리고 있습니다.
  • 데이몬교정

    빠르고 편안한 데이몬 교정

    데이몬 교정은 자가결찰 기술을 적용한 교정 방법으로,

    기존의 교정 방식보다 빠르고 편안하게 치료할 수 있습니다.


    적은 마찰로 더 효율적인 치료가 가능하며, 미세한 조정이 용이합니다.
    데이몬
  • 인비절라인

    보이지 않는 인비절라인 교정

    인비절라인은 맞춤형 투명 교정 장치를 사용하여 치아를 교정하는 방법입니다.


    미용적으로 뛰어나며, 장치의 착용이 편리하고,

    시각적으로 눈에 띄지 않아 자신감을 유지할 수 있습니다.
    인비절라인
  • 세라믹교정

    자연스러운 세라믹 교정

    세라믹 교정은 투명하거나 치아 색상과 유사한 브라켓을 사용하여,
    외관에서 거의 보이지 않는 교정 방법입니다.


    심미적인 면에서 뛰어나며, 자연스러운 외모를 유지할 수 있습니다.
    세라믹교정
  • 금속교정

    기본에 충실한 금속교정

    교정 치료는 많은 지식과 의술 뿐 아니라

    의료진의 정성과 관심 또한 중요합니다.

    순천미르치과의원은 치과교정전문의를 비롯한
    의료진 모두 환자분과

    충분히 감정을 교류하고
    대화하며 함께 동행하는 치료를 합니다.
    금속교정
  • 부분교정

    필요할 때만, 부분교정

    부분교정은 교정이 필요한 부분만 집중적으로 치료하는 방법으로,

    비교적 짧은 치료 기간과 적은 비용이 장점입니다.


    전체적인 교정이 필요하지 않은 경우에 적합합니다.
    부분교정
  • 설측교정

    보이지 않는 설측교정

    설측교정은 브라켓을 치아의 안쪽에 부착하여 교정하는 방법입니다.


    외부에서 보이지 않기 때문에 미용적인 장점이 크며,

    기능적인 효과도 뛰어납니다.
    설측교정
  • 투명교정

    투명한 교정, 나만의 스타일

    투명교정은 거의 보이지 않는 투명한 플라스틱 장치를 사용하여 교정하는 방법입니다.

    탈부착이 가능하고, 미용적인 장점이 크며, 식사나 구강 청결에 불편함이 적습니다.
    투명교정
Orthodontic Treatment Process

교정 치료 진료과정

평생 함께할 자신 있는 미소,


순천미르치과의원의 미소 디자인은 이렇게 시작합니다.
  • 01

    첫 내원(초진)

    치아와 안모에 대한 임상검사를 합니다.
  • 02

    자료 채득

    X-ray, 구강 내ㆍ외 카메라 사진, 치아 모형, 턱관절 및 치주 상태, 전신 질환 유무, 가족력 검사 등을 ​​​​​​​통해 진단 자료 수집
  • 03

    자료 분석

    채득한 자료를 분석하여 ​​​​​​​환자에게 가장 적절한 치료 계획을 수립
  • 04

    진단 통보

    자료에서 얻어진 결과를 바탕으로 환자가 가지고 있는 문제, 치료 방법 및 계획에 관해 ​​​​​​​환자와 의논하고 치료 계획을 확정
  • 05

    치료

    환자가 치료 계획에 동의하게 되면 수차례에 걸쳐 교정 장치가 부착되며 ​​​​​​​주기적인 내원을 통해 치료가 진행됩니다.
  • 06

    치료(유지)

    교정 치료를 통해 개선된 치열 상태가 오랫동안 ​​​​​​​유지되도록 일정 기간 동안 보정 장치를 착용

교정 치료 필요한 대상

치아교정은 치아를 올바른 위치에 제대로 배열하는 것으로 치아의 기능적 회복을 도와줍니다.


이는 치아의 기능적 회복을 도와 균형 잡힌 아름다운 얼굴을 가져옵니다.

이런 분들께 교정 치료 추천해 드립니다.

  • 1

    영구치 공간이 부족한 경우

  • 2

    삐뚤삐뚤하거나 겹쳐서 난 치아

  • 3

    아래 앞니가 위의 앞니 앞쪽으로 물리는 반대교합

  • 4

    유치가 제때에 빠지지 않은 경우

  • 5

    아래-윗니의 정중선이 일치하지 않은 경우

  • 6

    치아 사이에 공간이 많은 경우

  • 7

    앞니만 닿고 어금니들이 물리지 않는 경우 혹은 그 반대의 경우

  • 8

    안모가 이상해 보이는 경우(주걱턱, 뻐드렁니, 입술의 돌출)

  • 9

    위 앞니가 돌출된 경우 등

인비절라인

치아교정, 아직 망설이시나요? 인비절라인으로 해결하세요! 눈에 띄지 않는 투명 교정장치로 밝은 미소 되찾으세요.

  • 인비절라인

    투명장치(클리어 얼라이너)를


    이용한 교정 치료법입니다.

    브라켓과 철사를 이용하는 기존의 교정 치료 대신 투명 장치 또는 클리어 얼라이너라고 부르는 장치를 이용한 교정 치료법입니다. 경도부터 과개교합, 발치 교정 등 중도의 부정교합까지 치료가 가능하도록 시스템이 설계되었습니다. ‘인비절라인’은 하나의 고유 상표로, 순천미르치과의원은 미국 FDA 승인을 받은 정품 인비절라인만을 사용합니다.

  • Check-up 01

    눈에 띄지 않는
    투명한 장치

  • Check-up 02

    탈부착 장치로
    편리한 구강 관리

  • Check-up 03

    결과를 예측할 수 있는
    디지털 교정

  • Check-up 04

    적은 통증
    (시작 단계만 통증 발생)

  • Check-up 05

    내원 횟수 감소,
    진료는 간단하게

인비절라인의 포인트

  • 01

    클린체크 시스템 (Clincheck Sustem)

    3D 스캔 및 치아교정 계획을 설계하며 치료 후 치아 모형 변화를 예측하기 위한 인비절라인만의 시스템입니다. 이 시스템을 통해 개개인에 맞는 치료 계획을 세워 환자와 함께 단계별 치아 이동을 확인합니다.
  • 02

    스마트 트랙 (Smart Track)

    교정학적 치아 움직임을 효과적으로 개선하는 데 사용되는 인비절라인만의 고유 소재로 편안한 착용을 위한 높은 탄력성, 치아를 따라 형성된 정교함, 통증을 줄여주는 힘의 균형을 자랑합니다.
  • 03

    스마트 포스 (Smart Force)

    클린체크로 예측된 치아 이동을 구현하기 위해 힘을 치아에 전달하여, 치아를 예측한 최적의 위치로 이동시킵니다.
  • 04

    스마트 스테이지 (Smart Stage)

    적합한 치아 이동 경로와 인비절라인 치료의 모든 단계에서 치아 각각의 이동 방향으로 힘이 전달되도록 얼라이너의 모양을 결정하는 진보된 알고리즘입니다.
  • 인비절라인 정품마크

    미르치과병원은 미국 FDA 승인을 받은 정품 인비절라인만을 사용합니다.

  • 구강스캐너 I-tero

    첨단 3D 구강 스캐너 I-tero를 이용하여 교정 후 예측되는 결과를 확인할 수 있습니다.


일반 투명교정과 인비절라인의 차이

인비절라인은 어린이부터 청소년, 성인까지 맞춤형으로 제작되는 방식이며 약 2주마다 교체 착용하여 치아를 점차 원하는 위치로 이동시킵니다.

표를 좌우로 스크롤 하세요.

일반 투명교정

인비절라인

재료

  • 플라스틱
  • 특수 강화 플라스틱

움직일 수 있는 치아 개수

  • 앞니 2~3개
  • 어금니를 포함한 치아 전체

치료가능한 케이스

  • 일부 부정교합에만 가능
  • 다양한 부정교합 치료 가능

제작 과정

  • 손으로 제작
  • 첨단 컴퓨터 기술로 제작

치료 방향 예측

  • 불가능
  • 가능

인비절라인 제작 과정

  • 01

    검진 및 치아 분석

    인비절라인 교육 이수를 받은 보건복지부 인증 치과교정 전
  • 02

    미국 본사와 소통

    맞춤형 3D 치료 계획을 세운 후, 미국 본사에 전달
  • 03

    인비절라인 본사 제작

    미국 본사에서 맞춤 제작 진행
  • 04

    치료 시작

    제작 완료 후 교정 치료 시행

인비절라인 고려 사항

  • 1

    탈부착이 가능하지만, 최선의 결과를 위해 식사 시간 제외 하루 평균 20시간 이상 착용할 것을 권장합니다.

  • 2

    치아의 효과적인 이동을 위해 Attachment(어태치먼트)라는 치아 색상의 작은 레진을 치아 표면에 부착합니다.

  • 3

    인비절라인 치료는 장치를 착용하는 시간이 치료의 성공을 좌우하므로 환자분의 협조도가 중요합니다.

교정 치료 프로그램

지금 내 치아의 증상에 따라 적합한 교정 치료 방법을 선택해야 합니다. 


나에게 맞는 교정 방법을 알아보세요.

정기적인 검진을 통한, 예방 교정

소아 환자의 경우, 대개 7~8세 경 영구 전치가 나게 되는데, 이때 치아가 반대로 다물린다면 조기 검진을 받아 보는 것이 좋습니다.


소아, 청소년기에 교정을 시작하면 수술을 해야 할 어려운 골격적 부조화를 조절할 수 있습니다.

  • 골격적 부조화가 있는 경우

    소아 환자 [만 6세 (초등학교 1학년)]가
    뻐드렁니, 주걱턱, 무턱 등 골격적 부조화가 있는 경우
    내원하여 조기 검진을 받아 보는 것이 좋습니다.

  • 골격적 문제가 없이 성장할 경우

    초등학교 고학년(12~13세) 시기에 영구 치열이 거의 완성됩니다.

    이때, 골격적인 문제 없이 성장할 경우에도 정기적인 검진으로
    치아의 건강을 지키세요.

덧니&치열 불규칙

덧니가 있거나 치열이 불규칙한 경우, 심미적으로도 보기에 좋지 않지만, 기능적으로도 자기의 역할을 상실하게 됩니다.


치료 방법은 크게 치아를 빼고 하는 방법과 치아를 빼지 않고 교정하는 방법으로 나뉩니다.

  • Check-up 01

    경제적인 비용

  • Check-up 02

    짧은 치료 기간

  • Check-up 03

    작은 장치

  • Check-up 04

    환한 미소


비밀 교정, 보이지 않는 교정! 설측교정

대부분의 교정 치료가 1년 ~2년 이상 소요되는 경우가 많습니다.


그래서 많은 직장인들이 겉으로 보이는 장치로 인해 교정을 망설이게 되는데, 설측 교정 장치의 경우 장치가 치아 안쪽 면에 부착되기 때문에
겉에서는 눈에 잘 띄지 않고, 치료 기간이나 효과도 밖으로 하는 치료와 큰 차이가 없습니다.

  • Check-up 01

    1년~2년 이상 소요

  • Check-up 02

    뛰어난 심미성


투명교정

치아에 브래킷을 부착하지 않고, 투명한 아크릴 필름을 끼워 치아를 이동시키는 방법을 말하며,
투명하여 잘 보이지 않고 착탈식이라 필요시에 제거가 가능하며, 치과에서 소모되는 시간이 적고 장치로 인한 불편한 자극이 없습니다.


단, 악당 2mm 이내 정도의 공간 부족이나 틈이 벌어진 경우, 또는 치아 이동 거리가 작은 비교적 간단한 증례에 국한되어 사용되는 장치입니다.

  • Check-up 01

    자유로운 탈부착

  • Check-up 02

    편안한 음식섭취


수술 교정

일반 교정 치료만으로는 개선이 어려운 골격을 변화시키는 심미성이 우수한 교정 프로그램입니다.


턱 수술과 교정 치료를 병행하여 치료하는 것으로 주걱턱, 안면 비대칭, 무턱, 돌출입 등과 같은 증례에서 주로 이루어지며,
하악 수술 또는 양악 수술이 시행됩니다.

  • 턱 수술 교정, 악 교정 수술

  • 턱 수술 + 교정


돌출 입

치아교정을 통해 뻗어 나온 앞니를 뒤로 당겨 넣는 치료입니다.


나온 입을 넣기 위해서는, 송곳니 뒤쪽에 있는 작은 어금니를 발치하고 그 자리를 이용해 앞니를 당기게 됩니다.

  • Before

  • After


치간공극

치아 사이에 공간이 있는 경우에, 교정 장치를 부착하여 치아 사이에 있는 공간을 뒤로 당겨서 없애게 됩니다.


벌어진 정도와 위치, 교합 관계 등에 따라 양측 또는 편측으로 교정이 들어갈 수 있으며, 그에 따라 소요되는 기간도 약간씩 차이가 납니다.

  • Before

  • After

교정 치료 주의사항

치아의 정상적인 기능 회복, 교정 치료 치아교정은 치아를 올바른 위치에 제대로 배열하는 것으로 치아의 기능적 회복을 도와줍니다.


이는 치아의 기능적 회복을 도와 균형 잡힌 아름다운 얼굴을 가져옵니다.

교정 치료 주의사항

  • 01

    구강위생 관리

    칫솔질을 더욱 열심히 해서 충치, 변색, 잇몸 질환이 생기지 않도록 해야 합니다.



    잇몸 질환이 생기기 쉬우므로 스케일링을 하고, ​​​​​​​칫솔질 학습을 철저히 해야 합니다.
  • 02

    식이조절

    딱딱하거나(깍두기, 날 당근, 통사과) 질기거나(오징어, 곱창) 끈적한(캐러멜, 엿, 껌) 음식은 철사를 변형시키거나 장치를 떨어지게 하므로 ​​​​​​​피해야 합니다.
  • 03

    내원 약속

    약속대로 내원하지 않으면 ​​​​​​​치료 기간이 길어지고 치료비가 많이 들게 됩니다.
  • 04

    장치로 인한 손상

    철사나 고무줄 착탈 시에 다치지 않도록 주의합니다.
  • 05

    원래 상태로의 회귀

    교정 치료 후 보정장치의 착용을 소홀히 하면 치아 배열이 삐뚤어지면서 재발될 수 있으므로 ​​​​​​​가능한 오래 장착해야 합니다.
  • 06

    환자의 협조

    장치물, 고무줄을 충분히 착용하지 않는 경우 치료 기간이 길어집니다.

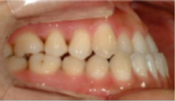
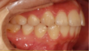
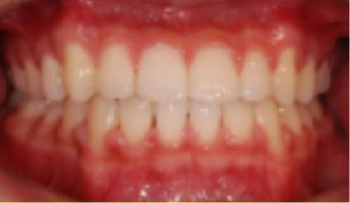
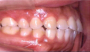
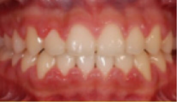
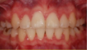
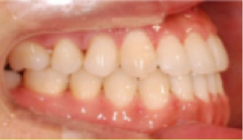
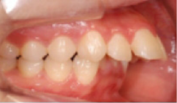
교정 치료 Before&After

  • 상악 전돌(돌출) 위턱이 앞으로 나옴.

    Before

    After

  • 하악 전돌(주걱턱) 아래턱이 앞으로 나옴.

    Before

    After

  • 상하악 전돌 위턱과 아래턱이 앞으로 나와 입이 돌출됨.

    Before

    After

  • 전치부 반대교합 위아래 앞니가 거꾸로 물림.

    Before

    After

  • 총생(Crowding) 치아가 삐뚤게 남.

    Before

    After

  • 치간공극 치아 사이가 벌어짐.

    Before

    After

  • 개방교합 앞니 쪽에서 아랫니와 윗니가 닿지 않고 벌어짐.

    Before

    After

  • 과개교합 아랫니와 윗니가 깊게 물려 아래 앞니가 잘 안 보임.

    Before

    After

턱관절 장애

입을 벌리기가 어렵고 아프거나 턱을 움직일 때 귀 부근에서 딱딱하고 소리가 난다면 우선 턱관절 장애를 의심해 보아야 합니다.

  • 측두하악 장애

    턱관절 장애란,

    측두하악 장애는 턱관절과 주변 관련 구조물에 발생하는 질환을 모두 포함하는 용어입니다. 턱관절 장애는 턱관절의 염증 또는 탈구 등으로 인해 소리가 나거나 통증이
    느껴지며 입을 벌리는 데 장애가 있는 질환을 말합니다.


    음식물을 씹을 때 턱 주변에서 느껴지는 통증, 입을 벌릴 때 ‘딱' 소리가 나거나
    통증으로 입을 벌리지 못하는 것 모두 턱관절 장애의 대표적인 증상입니다.

혹시 이런 증상을 갖고 계신가요?

  • 1

    입을 벌릴 때 딱딱 소리가 나는 경우

  • 2

    음식물을 씹을 때 턱이 아픈 경우

  • 3

    입이 잘 벌어지지 않는 경우

  • 4

    턱, 목, 어깨근육통증이 나타나는 경우

  • 5

    귀나 뺨 또는 머리 옆쪽에서 통증이 나타나는 경우

  • 6

    이명증, 안모의 변화 등이 나타나는 경우

* 2개 이상 해당 시 턱관절 검진을 권유드립니다.


턱관절 장애 치료 방법

턱관절 장애 치료 방법은 원인에 따라 다양한 접근법을 사용합니다.


행동 조절, 물리치료, 약물요법, 주사 요법, 교합 안정장치, 그리고 스트레스 관리 등이 포함됩니다.

  • 교합 안정 장치 요법

    턱과 교합을 안정시키는
    치아 보호 장치 요법입니다.

    틀니와 비슷한 장치로 상악이나 하악에 장착하여 턱관절이나
    교합을 안정시키고 얼굴 및 두경부 근육을 이완시키며,
    치아를 보호하는 장치입니다.

  • 턱관절 가동 술

    턱관절의 이상 원인을 찾아 기능을
    회복하는 치료 기법입니다.

    입이 잘 벌어지지 않을 경우에 그 원인이 어느 쪽 관절에 있는지를
    우선 확인하고, 원인을 알아내면 의사가 이환 측 아래턱 어금니를
    꼭 잡고 아래턱을 전 하방으로 끌어당겨 디스크가 최대한 원래의
    위치에 가도록 합니다.

  • 주사 요법

    근육과 턱관절 통증 완화를 위한
    다양한 약물 주사 치료입니다.

    근육과 관절의 통증 조절을 위해 발통점 주사 요법,
    보톡스 주사 요법, 관절강 내 주사 요법 등 다양한 약제를 이용한
    주사 요법이 사용됩니다.

  • 물리치료

    근육 이완과 통증 조절로
    턱관절 운동 범위를 회복하는 치료법입니다.

    더운 찜질, 얼음찜질, 초음파 치료, 경피성 신경 자극, 운동요법,
    전기 침 자극, 음파 삼투 요법 등을 실시하여 근육을 이완시키고
    동통을 조절하여 하악의 운동 범위를 정상으로 개선시킵니다.

  • 약물요법

    진통제와 근육 이완제로
    증상 완화를 돕는 치료법입니다.

    비마약성 진통제, 근육 이완제, 정온제, 진정제, 항우울제 등을
    사용하여 환자의 증상을 완화시킵니다.
    이 외에도 바이오피드백, 발통점에 대한 주사, 침, 교합 보정, 보철 및 교정 치료 등
    여러 치료법이 필요에 따라 사용될 수 있습니다.

  • 행동 조절 및 스트레스 관리

    턱관절 장애 유발 습관 개선과
    스트레스 완화 치료법입니다.

    원인에서 언급한 여러 가지 행동 즉 나쁜 자세, 이갈기, 이 악물기,
    입술·연필·손톱 물어뜯기, 편측 저작, 껌 씹기, 턱을 괴는 습관, 뺨을
    깨물고 있는 습관, 턱을 앞으로 내밀거나 계속 움직이는 습관 등이
    턱관절 장애를 야기할 수 있으므로 이런 행동을 조절하는 것이
    치료법이 될 수 있습니다.

순천미르치과의원
약도 문자전송서비스

전송된 약도를 확인하시고 방문해 주시면 감사하겠습니다.

약도 문자전송

순천미르치과의원
무료 주차장 운영

순천미르치과의원은 병원에 내원하시는 분들의 편의와


주차의 불편함을 최소화 하기 위해


무료 주차장을 운영하고 있습니다.


자가용 이용 시 참고해주시기 바랍니다.
무삭제 라미네이트,

미라클네이트

CASE 보러가기

미라클네이트 다양한 케이스는
로그인 하시면 보실 수 있습니다.